muumii

  • muumii

    har recenserat en produkt
    Inlägget skapades 3 veckor
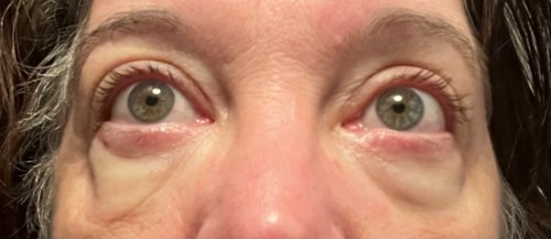
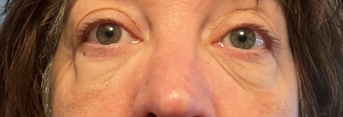
    Betyg: 2 av 5

    Blev torr och rynkig

    Fick produkten sent, hann endast testa i en vecka. Lätt att applicera och bra instruktion för användning. Luktar starkt. Sticker i ögonen. Känns inte naturlig. Huden drar ihop sig och blir stel. Upplever att jag blir torr och rynkig under ögat efter applikation. Ingen direkt förbättrande effekt på huden under ögat. Snarare sämre.
    1 produkt i inlägget Blev torr och rynkig
    113 visningar
    • Användarens roll: Kundtjänst på Lyko.Kommentaren lades 3 veckor
      Hej! 👋 Tack för att du delar din upplevelse 💛 Vad synd att produkten inte levde upp till dina förväntningar ❤️ Det är vanligt att huden kan kännas annorlunda i början av användning, särskilt i den känsliga huden under ögonen. Om huden känns torr kan det hjälpa att applicera en liten mängd och låta den absorberas ordentligt, samt att kombinera med en mild ögonkräm om du önskar mer återfuktning ✨ Vi uppskattar din feedback och hoppas att du hittar en rutin som fungerar bättre för just din hudtyp! ✨
  • muumii

    har recenserat en produkt
    Inlägget skapades 2 månader
    Betyg: 4 av 5

    Bra milda removers

    Free zone för mildare borttagning och Magic touch för mörkare färger. Båda fungerar fint men Magic touch är mer effektiv. Ingen stark doft och naglarna känns mjuka & återfuktade efter borttagning.
    1 produkt i inlägget Bra milda removers
    85 visningar
  • muumii

    har recenserat en produkt
    Inlägget skapades 2 månader
    Betyg: 4 av 5

    Bra milda removers

    Free zone för mildare borttagning och Magic touch för mörkare färger. Båda fungerar fint men Magic touch är mer effektiv. Ingen stark doft och naglarna känns mjuka & återfuktade efter borttagning.
    1 produkt i inlägget Bra milda removers
    77 visningar
  • muumii

    har recenserat en produkt
    Inlägget skapades 6 månader
    Betyg: 4 av 5

    Hårfärg buzzador

    Bra gråtäckning och gav håret glans och blev lättkammat
    1 produkt i inlägget Hårfärg buzzador
    695 visningar
  • muumii

    har recenserat en produkt
    Inlägget skapades 3 år
    Betyg: 4 av 5

    Bra mjukgörare, något kladdig

    Jag har provat Helosan Original och Helosan Fotsalva. Krämerna är feta och sköna att smörja in torra händer och fötter med. Perfekt när kylan kommer krypande och huden blir torr. Doftar milt. Känns inte vattnig men tar en stund innan den absorberas.
    1 produkt i inlägget Bra mjukgörare, något kladdig
    37 visningar
  • muumii

    har recenserat en produkt
    Inlägget skapades 3 år
    Betyg: 4 av 5

    Härlig

    Bra serum som återfuktar huden utan att kladda. Svag frisk doft av citrus. Lämnar huden återfuktad och mjuk
    1 produkt i inlägget Härlig
    208 visningar
  • muumii

    har recenserat en produkt
    Inlägget skapades 4 år
    Betyg: 4 av 5

    Härlig vegansk rengöring

    Jag har använt Nivea face cleansing magic bar - en vegansk exfolierande tvätt. Efter lätt gnugg med fuktiga händer byggs ett härligt lödder upp som inte torkar ut min känsliga hud i ansiktet. Bör användas två gånger per vecka. Doftar diskret. Bättre för miljön att använda bars istället för produkter utspädda med vatten på flaska. Bra för miljön med pappersförpackning.
    1 produkt i inlägget Härlig vegansk rengöring
    325 visningar